口元に大きな悪影響!ガミースマイルの原因と治療法

あなたはガミースマイルという言葉を聞いたことがありますか?
この状態になる原因は主に3つあり、治療法がそれぞれ異なります。
ガミースマイルが口腔環境に与える悪影響などとあわせて、詳しくご紹介します。
ガミースマイルとは
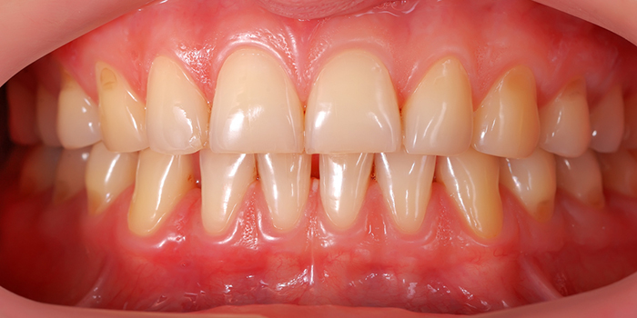
ガミースマイルとは、笑った時に歯ぐきが大きく見えてしまう状態のこと。
綺麗な歯並びでも歯ぐきが目立ち、口元の印象を大きく変えてしまいます。
また、本人が気にし過ぎて笑顔が減ってしまうという、精神的影響もあるようです。
ガミースマイルの悪影響とは

ガミースマイルは口元の見た目だけではなく、口腔環境にも悪影響を及ぼす恐れがあります。
本来は潤っているべき歯ぐきが露出して乾きやすいので、炎症や血行不良、色素沈着などを起こしやすいのです。
これらは手入れをすることで防止できますが、あまりに顕著な場合は根本原であるガミースマイルの治療が必要となるケースもあります。
ガミースマイルの原因
ガミースマイルになる原因は、主に3つに分けられます。
≪歯の生え方の異常≫
歯が小さかったり、歯の生えている位置が低いと、歯ぐきが過度に見える原因となります。
歯に対して歯ぐきの面積が大きくなり、目立ってしまうのです。
≪上唇の筋肉の発達過剰≫
上唇の筋肉が発達しすぎると、上唇が通常より上がってしまい、歯ぐきが大きく見える原因となります。
特に笑った時に上唇が上がりやすいため、ガミースマイルとなってしまうのです。
このケースは上唇が原因なので、歯の大きさや生え方が正常でも歯ぐきが目立つことに変わりありません。
≪上あごの発達過剰≫
上あごが過剰に発達していると、唇が歯ぐきを覆うことができなくなります。
そのため歯ぐきが露出しやすくなり、ガミースマイルとなってしまうのです。
この場合、上あごが前方に突き出して、出っ歯を併発しているケースが多いのも分かっています。
ガミースマイルの治療法

≪歯が小さい、歯の生え方が低い場合≫
歯の面積を上方に伸ばして、歯ぐきを目立たなくさせる治療を行います。
この場合、セラミック法と歯冠長延長術を併用して治療します。
歯肉を切ったり仮歯を使用するため、治療期間は2ヶ月ほど必要です。
≪上唇の筋肉の発達過剰の場合≫
笑った時に上唇が上がりすぎるのを防ぐ治療を行います。
上唇の粘膜を切除し、歯ぐきと縫合させる粘膜切除術が有効です。
約一週間で終了するので、比較的素早く改善できると言えるでしょう。
≪上あごの発達過剰の場合≫
軽度の場合、ワイヤーで前歯に圧力を加えて改善させます。
しかし重度の場合は、骨格と歯を引っ込める骨切り手術が必要になります。
上あごが原因の場合は状態によって治療の内容や期間が変わるため、担当医と細かく相談することが大切です。
また、近年ではガミースマイルの治療の際に『インプラント矯正』を利用する方が増えてきています。
インプラントを顎の骨に埋め込むことで、今まで困難であった歯の動きが可能となり、治療期間の短縮など、患者様の負担軽減が可能になりました。
インプラント埋入にかかる時間は埋め込むインプラントの本数によって異なりますが、大体30分~1時間で手術が完了します。
異物感にも慣れやすく、日常生活に支障を与えないという点も大きなメリットだと言えるでしょう。
ガミースマイルにコンプレックスを抱いている方は少なくありません。
出来るだけ早くガミースマイルの克服に向けて動き出すことをオススメします。









