歯並びが悪いのも嫌ですが、矯正装置をつけるのはもっと嫌です。何か良い方法はありませんか?

矯正、インビザラインを行っている南浦和の歯医者さん、くろさき歯科です。今回は矯正装置をつけるのが嫌な場合におすすめする方法について解説いたします。
矯正装置といえば、歯にギラギラとした装置を装着しているイメージがある方も多いのではないでしょうか。実際、歯に装着する装置は、口を開けた時に少々目立ちます。笑った時や会話をする時に、口元が矯正装置で目立つようですと、消極的になり、人との関わりにも悪影響が出る事があります。そこで、目立たない矯正方法・違和感の少ない矯正装置について解説していきたいと思います。
1.一般的な矯正方法
一般的に行われている矯正方法は、「ブラケット矯正」というもので、歯の1本1本に金属製のブラケットという器具を装着し、そこにワイヤーを通し引っ張る力を加える事で、歯を移動させる矯正方法です。
昔から行われている実績のある矯正方法で、様々な不正咬合に対応でき、0.1ミリ単位で、全体の歯並びと噛み合わせを矯正する事ができます。信頼性が高く良い方法なのですが、デメリットとして“ブラケットが目立つ”点があげられます。歯の1本1本に取り付けた金属のブラケットが口を開けた時に目立つので、見た目を理由に矯正治療を嫌がる人が多いのも事実です。
2.目立たない矯正方法

良い歯並びは、歯や口の見た目だけでなく、顔や身体全体のバランスも整えます。見た目が嫌だというだけで、矯正治療を諦めてしまうのは、少々残念な気がします。そういった場合は、装置が目立たない矯正方法を検討してみるのも良いかもしれません。
(1)インビザライン
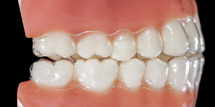
インビザラインとは、マウスピースを用いた矯正方法です。歯型に合わせて作ったアライナーという透明なマウスピースを正しい順序で付け外して矯正していきます。透明で薄い板でできているので、目立ちにくく、食事の時や歯磨きをする時は、外す事ができ安心です。比較的、歯のがたつきが少ないケースに有効で、歯の根の向きを変える必要があるような複雑な症例には向いていません。インビザラインのメリットとデメリットをまとめると次のようになります。
a. インビザラインのメリット
・ 目立たないため、人から気付かれにくい
・ フィット感があり、痛みが少ない
・ 簡単に取り外しする事ができる
・ 金属アレルギーの心配が無い
b. インビザラインのデメリット
・ 矯正期間が長くなる
・ 適応とならないケースがある
・ 装置の管理を自分でやらなければならない
インビザラインは近年のCAD/CAMを応用して、ロボットが矯正装置を作る矯正技術です。オーダーメイドで作る矯正装置なので、フィット感があります。
“簡単に取り外しができる事”は、時にデメリットにもなります。外してしまう時間が長くなればそれだけ、矯正にかかる時間が長くなってしまい、負担が大きくなります。いずれにしてもブラケット治療と比較すると、矯正期間は長くなってしまう傾向にあります。
(2)審美ブラケット
セラミックや樹脂性の目立ちにくいブラケットを用いたブラケット矯正です。金属のブラケット矯正と同様に、様々な矯正に応用できます。金属ブラケットの場合より、多少高額になります。また、樹脂製のブラケットの場合は、強度が弱いのが難点です。
歯の表面にブラケットを取り付ける必要があるので、矯正装置が全く見えなくなるわけではありませんが、金属ブラケットと比較すると、目立ちにくくなります。
(3)舌側矯正
歯の裏側にブラケットを装着するタイプの矯正方法です。表側には矯正装置が付かないので、周りから気付かれずに矯正治療をする事ができます。ただし、舌が装置に触れるので、違和感を強く感じる場合があります。表側のブラケット矯正よりも費用が高くなります。
3.歯並びが良くなると?
歯並びは、歯の見た目だけの問題ではありません。噛み合わせも整う事によって、顔や全身にも良い影響を与えます。歯並びが良くなると得られる効果をあげていきたいと思います。
(1)噛み合わせのバランスが整い、歯だけでなく顔も整い美しくなる
(2)汚れが溜まりにくいので、虫歯や歯周病になりにくくなる
(3)しっかり噛む事ができるので、食事が美味しくなる
(4)コンプレックスが解消され、自分に自信が持てるようになる
4.まとめ

いかがでしたでしょうか。歯並びが嫌だと感じていながらも、矯正装置に抵抗がある場合には、目立たない矯正方法、違和感の少ない矯正装置を選択する事で、安心して矯正治療を受けやすくなるでしょう。そんな方には、「インビザライン」「審美ブラケット」「舌側矯正」がおすすめです。
歯並びは、見た目だけの問題ではありません。美しい歯並びは、虫歯や歯周病といったお口の病気の予防にもなりますし、噛み合わせが整う事で、お顔や全身のバランスも整い、健康的になれるでしょう。
コンプレックスが解消され、自分に自信が持てるようになり、歯を大切にする意識が芽生えるのでは無いでしょうか。
矯正装置に抵抗があり、矯正を諦めていた方も、この機会に矯正治療を考えてみてはいかがでしょうか。









